Mundo
Criança de sete anos tinha 526 dentes
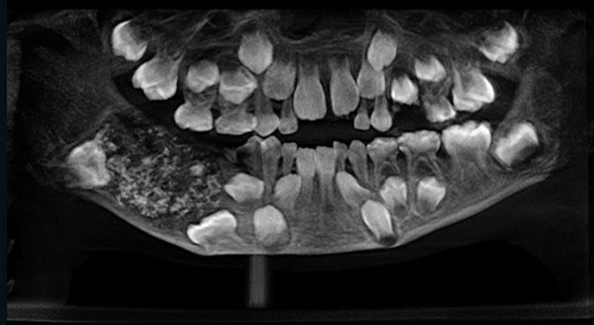
Um menino indiano de sete anos deu entrada num hospital na cidade de Chennai, sul da Índia, com dores fortes no maxilar. Após uma radiografia, os médicos descobriram que a criança tinha 526 dentes a crescer na boca.
A chefe da especialidade de Patologia Oral e Maxilofacial do hospital, Prathiba Ramani confirmou à CNN que quando foi realizada a radiografia os médicos depararam com uma “cavidade embutida no maxilar inferior cheio de dentes anormais”.
“Um total de 526 dentes com tamanhos variáveis entre 0,1 milímetros e 15 milímetros. Mesmo o mais pequeno tinha coroa, raiz e esmalte”, acrescentou.
"Sob anestesia geral, perfurámos o maxilar a partir do topo. Não quebrámos o osso lateral, o que significa que não foi necessária cirurgia de reconstrução. O saco foi removido. Pode-se pensar nisso como uma espécie de balão com pequenos pedaços dentro", detalhou P. Senthilnathan, chefe do Departamento de Cirurgia Oral e Maxilofacial do hospital.
A cirurgia, que decorreu há cerca de um mês, demorou entre quatro a cinco horas e a criança, agora com 21 dentes, teve alta três dias depois da operação. Os médicos garantem que a criança vai recuperar totalmente.
A criança sofria de uma condição muito rara chamada odontama composto, que poderá ter sido causada por fatores ambientais, como radiação, ou devido à genética.
A doença já existiria há algum tempo. Segundo os pais, o menino já tinha o maxilar inchado quando tinha três anos.
Os especialistas acreditam que a consciencialização sobre a saúde oral está a melhorar na Índia, mas o acesso a tratamentos dentários nas zonas rurais ainda permanece problemático.
“Um total de 526 dentes com tamanhos variáveis entre 0,1 milímetros e 15 milímetros. Mesmo o mais pequeno tinha coroa, raiz e esmalte”, acrescentou.
"Sob anestesia geral, perfurámos o maxilar a partir do topo. Não quebrámos o osso lateral, o que significa que não foi necessária cirurgia de reconstrução. O saco foi removido. Pode-se pensar nisso como uma espécie de balão com pequenos pedaços dentro", detalhou P. Senthilnathan, chefe do Departamento de Cirurgia Oral e Maxilofacial do hospital.
A cirurgia, que decorreu há cerca de um mês, demorou entre quatro a cinco horas e a criança, agora com 21 dentes, teve alta três dias depois da operação. Os médicos garantem que a criança vai recuperar totalmente.
A criança sofria de uma condição muito rara chamada odontama composto, que poderá ter sido causada por fatores ambientais, como radiação, ou devido à genética.
A doença já existiria há algum tempo. Segundo os pais, o menino já tinha o maxilar inchado quando tinha três anos.
Os especialistas acreditam que a consciencialização sobre a saúde oral está a melhorar na Índia, mas o acesso a tratamentos dentários nas zonas rurais ainda permanece problemático.