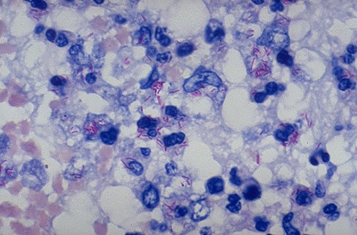
Descoberta química elimina 99 por cento do bacilo de Koch (tuberculose)

A cura da tuberculose está agora mais perto. Um estudo da revista The Lancet, agora publicado, revela que há um novo composto de medicamentos que elimina 99 por cento do bacilo de Koch, responsável pela doença.

Sérgio Infante /
Este "cocktail" de medicamentos já foi testado em humanos e serve também para as variantes mais resistentes da tuberculose.

A médica pneumologista Raquel Duarte, coordenadora da comissão de trabalho da tuberculose da Sociedade Portuguesa de Penumologia, destaca que esta nova abordagem pode ser utilizada em doentes com tuberculose multi-resistente.

De acordo com a Organização Mundial de Saúde, a tuberculose afeta por ano 9 milhões de pessoas, sendo que 1 milhão e meio acabam por morrer. 20 por cento das mortes por tuberculose são de pessoas com SIDA.

(Com Marcos Celso)
PUB